Nuova Radiologia Digitale Diretta
- karimhabib
- 19 mar 2025
- Tempo di lettura: 1 min
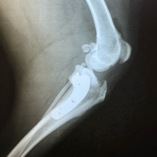
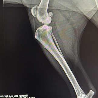
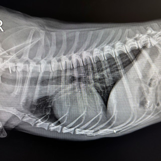
Siamo lieti di presentare alla nostra clientela la nuova Radiologia Digitale Diretta ad alta definizione, in grado di offrire ai nostri pazienti una diagnostica per immagini ancora più affidabile e sicura, soluzione che bypassa le limitazioni delle tecnologie precedenti. La nuova radiologia digitale rappresenta un avanzamento significativo rispetto al passato consentendo una diagnosi più rapida e precisa.
Le immagini vengono acquisite, visualizzate e archiviate in formato elettronico in modo da permettere una gestione più efficiente dei dati migliorando così la cura dei nostri animali.





























Commenti